21岁小伙一声咳嗽后肺“炸”了!瘦高个的年轻人要当心
“我的一只肺几乎不见了!”
“我也是!”
两位年轻男子你一言我一语,乍一听,还以为是朋友在开玩笑,但他们都穿着医院的病号服。
近日,浙江省人民医院急诊外科一连接诊了两位瘦高小伙子,原因都是一侧肺“炸”了。
两小伙莫名其妙一侧肺“炸” 了
21岁杭州某高校学生小乐(化名),身高1米75,体重只有55公斤。前一天傍晚进餐时,小乐咳嗽了一声,没想到突然右侧胸闷,呼吸困难,从右边胸口连带着右侧肩部都很疼痛。
第二天早上,因为疼痛加剧,小乐在家人陪同下到浙江省人民医院急诊医学科就诊。
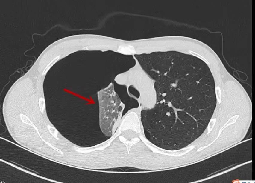
胸部CT显示,小乐右肺犹如被戳破的气球瘪了下去,肺组织压缩达90%,属于典型的自发性气胸,若不及时抢救会危及生命。
同一天在急诊住院的小邓(化名)是名中学生,今年17岁。据他回忆,他因琐事与父母争吵后,情绪激动,突然右侧胸闷,呼吸困难,胸部CT提示其右侧气胸,肺组织压缩85%。
箭头所指为压缩至正常十分之一的肺(浙江省人民医院供图)
这病好发于瘦高个年轻人
且“重男轻女”
浙江省人民医院急诊医学科副主任医师陈旭明介绍,气胸的定义为胸廓脏层胸膜和壁层胸膜之间的胸膜腔有气体积聚。自发性气胸患者多是由于患者胸膜下或脏层表面肺大疱破裂所致,发生率大约在5/100000至10/100000之间,其中男性发生率约是女性的3~6倍,发病高峰出现在16~24岁。
临床上,部分瘦高体形青年人群由于发育时生长较快,肺泡上弹力纤维发育不良,肺泡相对弹性较差,很容易出现破裂。目前还没十分明确的结论,但大量的统计结果发现,原发性自发性气胸更多发生于瘦高体型的男性。
“这种气胸患者可以在静息状态下起病,但有不少患者是发生在剧烈运动后,如打喷嚏、举重等,胸腔内压力积聚上升,导致肺泡破裂。” 陈旭明解释说,肺,平时就像个不断充气和放气的气球,把“气球”扎破了一点,外面的气压就会瞬间把肺压缩到很小,通常表现为骤然发作的胸闷、气急、呼吸困难、胸背部疼痛,有时疼痛可向肩部放射。
吸烟会致自发性气胸风险成倍增加
陈旭明表示,气胸最简单的诊断方法是胸部X线或胸部CT,可明确气胸的位置及肺组织压缩程度。无明显临床症状时,气胸通过静卧、吸氧等支持治疗可自行吸收;肺组织压缩超过30%就需要积极治疗,如胸腔穿刺抽气或胸腔闭式引流术。
“虽然目前无证据表明活动与气胸复发存在相关性,但对于一些运动量大、时间较长的运动,如篮球、橄榄球等,还是建议患者至少推迟至影像学提示气胸完全吸收后进行,像潜水会导致气胸复发,往往后果严重,因此经过手术治疗完全恢复正常后才能潜水。”
陈旭明提醒,在成人中,吸烟会使自发性气胸的风险成倍增加。因此,吸烟人群如果出现呼吸困难、胸痛、胸闷等不适症状,应及时就诊。

