“夫唱妇随”查出胃部肿瘤!医生道出了真相
一说起夫妻相
估计很多人都不会陌生
但说起夫妻肿瘤
估计很多人就会一脸蒙圈了
日前,胃肠外科成功为一高龄老人实施了腹腔镜下胃间质瘤切除术,而老人夫妇俩先后在我院行胃部肿瘤手术。
老年夫妻先后患上胃肿瘤
81岁林阿婆,半个月前,她隐隐觉得上腹有些不适,时不时地感到胀痛、恶心,但进食后会有所缓解,吃了些胃药却不见好,在家人的建议下,她来到了玉环市人民医院。
老人介绍,两年前老伴因胃不适,在我院胃肠外科做过胃癌手术,恢复得很好,那次住院经历给他们留下了深刻的印象。因此,这次她胃不舒服,再次选择来我院就诊。
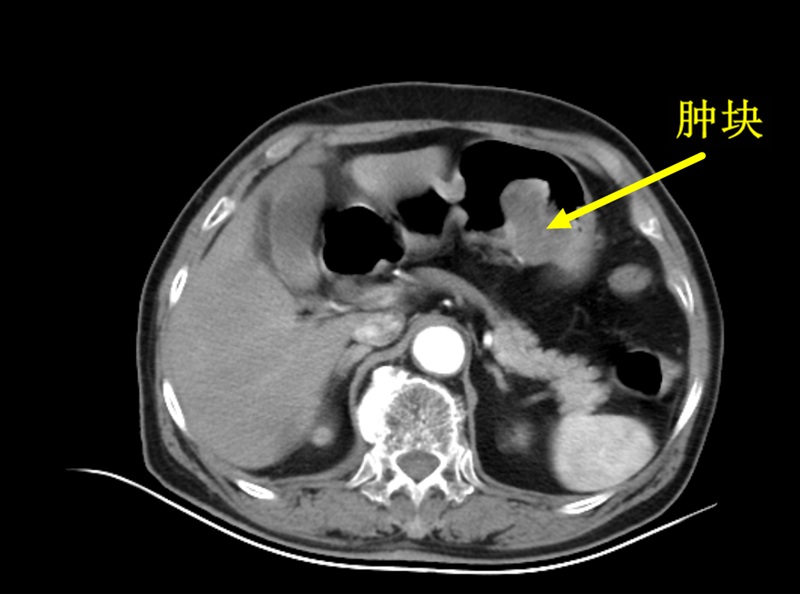
让她没想到的是,医生根据胃镜及影像学检查,胃部有一个5cm大小肿块,初步诊断:胃间质瘤可能,需要手术治疗。
医院微创摘除无痕
林阿婆住进胃肠外科,主任张宝杭带领手术团队充分考虑了手术可能面临的种种问题,制定了微创手术的治疗方案,针对肿瘤切除过程中可能出现的肿瘤破裂、出血导致肿瘤性质改变等问题,准备了详尽的手术预案。
腹腔镜微创手术,与传统手术相比创伤小、恢复也快很多。在医生们的讲解下,老人像吃了一颗定心丸,同意接受手术治疗。
3月5日,在麻醉科、手术室全力配合下,由陈勇锋副主任医师医疗组顺利完成手术,在切除肿块的同时,医生尽可能地保留了林阿婆正常的胃组织,使患者的创伤最小化。术后病理确诊为胃间质瘤,性质待病理分子检测结果。
什么是胃间质瘤?
张宝杭主任介绍,间质瘤好发于胃肠道,是最常见的间叶源性肿瘤,以胃、小肠最为多见。临床表现无特异性,肿瘤较小可无任何症状,随着肿瘤的增大,可表现为恶心、呕吐、上腹胀痛、贫血、腹部肿块与消化道出血等。
胃肠道间质瘤因其非特异的临床表现,给早期诊断带来一定困难。胃间质瘤的发现可能因体检或出现以上消化道症状而经胃镜检出,结合CT、等影像检查、超声内镜等,做出临床诊断。
治疗上外科手术仍为首选,其彻底性与预后密切相关,推荐行病灶的整块完整切除;术后行病理诊断,生物学行为可以是良性,也可表现为恶性。
按照肿瘤危险度分级标准,依据肿瘤的大小、核分裂及肿瘤原发部位,间质瘤可分低、中、高危险度。低危(良性肿瘤)术后无需服药,但需定期复查;若为中高危险度(相当于恶性肿瘤),术后除了需要定期复查随访外,还需要口服一定时间的抗肿瘤靶向药物伊马替尼(进口药叫格列卫),以防复发。
专家:特定人群需定期胃镜
张主任说,胃部肿瘤不会传染。但研究表明,胃肠肿瘤可能跟遗传、生活方式或环境有关系。
由于胃间质瘤的发病症状初期较为不明显,因此很容易被公众所忽视。往往是出现强烈胃痛、胃胀气等胃部症状时才后知后觉到医院检查。
所以,一般情况下,有胃肠疾病家族史、年龄在40周岁以上、大便潜血阳性或是胃部长期不适的人群一定要定期到医院进行胃镜或超声内镜检查,规避风险。

