68岁阿婆出现头痛呕吐1月有余,罪魁祸首原来是它


“头不痛,人也舒服了,谢谢你医生!”市民陈阿婆望着主管医师陈思强微笑着说道。经过半个月多的住院治疗,陈阿婆恢复良好,迎来了出院的日子。
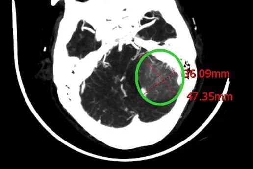
陈阿婆1月前出现头晕头痛,行走不稳、呕吐现象,到我院就诊时,神经外科专家为其做了一系列检查。经头部CT检查扫描,显示陈阿婆左侧颞骨岩部下有一个占位性的东西,大小为4.5*5CM,近似一个鸡蛋大小,患脑膜瘤的可能性较大,需要尽快手术切除。
由于对颅脑手术未知的恐惧,让陈阿婆和家人犹豫不决,最终陈阿婆选择了我院实施手术治疗。经过神经外科集体术前讨论,在征求病人和家属同意后,专家为其制定了手术方案,决定行左侧后颅窝桥小脑角区巨大脑膜瘤切除术。
桥小脑角区域间隙狭小,密布着面神经、听神经、三叉神经等多根重要神经,后侧还有多个神经核团的脑干,因此手术必须格外谨慎,稍有差池就可能造成难以想象的后果。因此,医学上把该手术列为难度系数最高的四级手术。
消毒、麻醉、开颅,轻轻地剥离肿瘤,将鸡蛋大的肿瘤一点点切除、最终脑膜瘤从颅内成功取出,患者术前的头痛呕吐等症状随之消失。在手术室、麻醉科的大力配合下,由神经外科主任曾怀文主刀、医生陈思强协助,手术过程顺利。
经手术后一系列治疗及精心护理,患者恢复良好,生命体征平稳,神志清,精神可,应答正确,口齿清楚,肢体配合动作准确,术后CT复查脑肿瘤已完全消失。
脑膜瘤是颅内肿瘤常见病之一,属于良性肿瘤,生长慢,病程长,常见部位有大脑镰旁、蝶骨棘、桥小脑角区等。脑膜瘤的主要危害是压迫临近组织,造成相应的神经功能障碍,往往以头痛和癫痫为首发症状,颅内压增高症状多不明显,尤其在高龄病人。在CT及MRI检查日益普及的情况下,许多患者仅有轻微头痛,即使肿瘤体积较大,往往症状也不明显。当前脑膜瘤治疗的主要手段是开颅手术切除。
此次手术的成功开展,得益于近年来我院快速的软硬件投入。目前我院手术室拥有先进的手术显微镜、手术头架、进口气钻等医疗设备,为此类高难度手术的开展创造了条件,与此同时,神经外科医生定期到浙二、温一医等三甲医院开展学习进修,手术水平得到进一步提高,让更多病患在家门口就能获得国内一流水平的治疗效果。

