吃杨梅不吐籽,要命!快告诉劳碌了一辈子的爸妈,这个习惯要改
听说梅雨季和杨梅很配噢,可就是这杨梅季,有为摘杨梅摔伤住院的,现在又有吃杨梅不吐籽差点丢命,不是危言耸听,例子就在眼前。
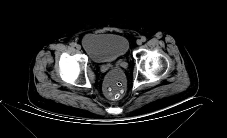
87岁的洪大爷,因脑梗死、高血压于7月2日入住玉环市人民医院。不料,第二天就出现了胃口差、腹部胀痛、排便困难等问题。予以CT检查发现,洪大爷下腹部一串“珠子”。
原来,洪大爷是一位杨梅爱好者,吃杨梅喜欢连籽带果肉一起吞。入院前两天吃了十多颗杨梅,都没有吐籽。
“以前生活苦,父辈们吃水果都不吐籽的,至今还有不少人保留着这个习惯。”神经内科主治医师刘青霞介绍,那堆“珠子”洪大爷未吐的杨梅籽,在肠道里堆积导致肠梗阻。
外科主治医生郑胜利会诊,从他肛门抠出8颗杨梅籽,才解除了肠梗阻的危机。经灌肠处理后,老人才得以舒坦。
据了解,不少人有吃水果不吐籽的习惯,也有人听信水果籽防病的传言而不吐核。这种吃法虽然短时间不会有什么明显症状,但日积月累后,对肠道的损伤不可小觑。
刘青霞介绍,从医学角度来看,吃核的做法不可取。杨梅核吞服后无法获得营养和药用价值,而且过量食用杨梅核,除了可能引发肠梗阻外,还可能刺激胃肠黏膜。特别是老年人肠功能减退,肠蠕动减慢,再加上疾病,活动量减少,容易便秘,引发肠梗阻,甚至肠穿孔。
对于水果连籽一起吃更健康的传言,刘青霞介绍,一般来说,那些混杂在果肉里面的种子都能吃,如猕猴桃籽、西红柿、火龙果等。虽然不少水果籽富含营养,如葡萄籽、西瓜籽、石榴籽等,但有的吞服营养难以被吸收,有的嚼粹后味道差,最好还是吐了。
另外,有些含有毒物质的水果籽和核都不能吃,榨汁最好剔除果核(籽),例如苹果、苦杏仁、梨子、李子、枇杷和樱桃等。这些水果中可能含有氰苷,这种物质本身无毒,但当植物细胞结构被破坏后,其中的β葡萄糖苷酶就会水解氰苷,生成有毒的氢氰酸,一旦大量摄入就可能引发急性中毒。

