心脏搭桥5年后血管再堵心跳骤停 医生火速重建“心路”
5年前,老人做了心脏搭桥手术,再造4条桥血管才捡回一命。不料5年后,最重要的一条桥血管竟堵塞了,致使老人突发室颤,再一次命悬一线!生死之间,999启动,医护人员火速集结,3分钟救命;危难之际,救心团队当机立断,惊险开辟,重建心路……
好可怕!搭桥心脏再出状况
王伯今年70岁,5年前因为严重心肌梗塞,曾在外院做了心脏搭桥手术,一口气再造了4条“桥血管”,才从鬼门关捡回一条命。
术后,王伯一直在家休养,偶尔无聊了就去村里打打麻将。
4月8日,吃过午饭后,闲来无事的王伯约了几位麻友,可刚开搓没多久,他便感觉胸口隐隐作痛。
“不打了,人受不了!”发觉不对劲,王伯立马起身休息,见胸痛迟迟没有缓解,便叫上儿子一起打的前往玉环市人民医院,第一时间住进了心血管内科。
神速度!999三分钟救回性命
一来到医院,王伯的胸痛也缓了过来,殊不知更大的险情却接踵而来!
“医生,快来看看我爸!”住院没多久,前一秒还在跟儿子说话的王伯,突然就没了声响。
“赶紧拿除颤仪,启动999!”听到呼喊,正在病房门口的医生陈忠武飞奔而上,一眼便望见了监护仪上致命的“室颤”心律,火速对王伯进行心肺复苏,紧急除颤。
几乎同一时间,医生林权、戴健益以及其他护士蜂拥而至,如常在周末加班的心血管内科主任阮宏标从办公室夺门而出。一声广播999,邻近病区的医护人员也纷纷赶来支援。
在强大的急救团队和争分夺秒的抢救下,短短3分钟后,王伯恢复了正常心律,再一次从鬼门关闯了回来!
高难度!桥血管闭塞后介入手术

然而,与死神的博弈还没有结束。王伯突发室颤,极可能是心脏血管堵塞引发,需要立马介入手术。
没有片刻停留,阮宏标主任与医生陈忠武立马赶往第二战场DSA手术室,温医大附一院心血管内科副主任医师陈长曦也远赴而来。
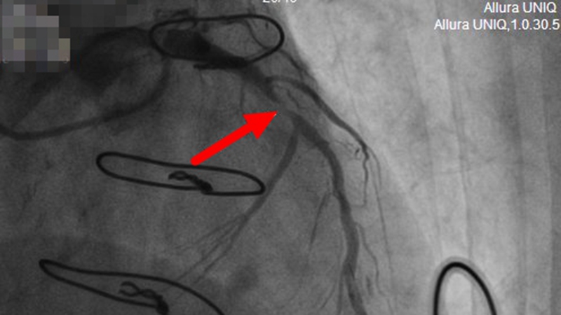
果不其然,造影发现,王伯的左内乳动脉——前降支“桥血管”明显细小、远端闭塞,这是最重要的一条“桥血管”。

【术前,左侧内乳动脉纤细 远端完全闭塞】

【术前,前降支近段严重狭窄】

【前降支近段植入支架,血管恢复正常直径】
桥梁堵塞无法再通,那就另寻他路。救心团队当机立断,果断决定翻修老路,在5年前就闭塞掉的前降支近段植入支架。
桥血管闭塞后介入手术是介入治疗中非常高危的手术之一!危急时刻,救心团队顶住巨大压力,凭借高超技艺,最终成功开通血管,惊险战赢死神。
目前,王伯的情况平稳,正在接受后续治疗。

