最凶险的心梗!一场与死神的巅峰对决
长达一周,58岁的吴大叔每天干活时都会胸痛发作一次,每次持续一分钟左右。他误以为是胃病,就简单吃了些胃药。直到9月19日晚,胸痛再次压榨性袭来,久久不能散去,就连呼吸都变得异常困难。吴大叔这才来到玉环市人民医院,没想到自己已是一只脚踏进了鬼门关,竟遇上了“最凶险的心梗”!
不好!心电图广泛异常
9月19日晚8时许,吴大叔来到医院急诊时,双手扶着胸口,面色铁青,呼吸十分费力。这引起了分诊护士的高度警觉,判断可能是急性心梗,火速安排其进行心电图检查。

结果心电图显示,广泛导联ST段压低伴aVR导联ST段抬高。一连串的异常跃入眼帘,心血管内科医生郭俊野和陈忠武不禁倒吸了一口凉气,判断这极有可能是最凶险的左主干闭塞。
同时,心梗还引发了心衰、心源性休克,吴大叔呼吸困难,氧饱和度下降至92%,血压仅仅只有80/52mmhg。
“快快快!赶紧送导管室!”胸痛中心绿色通道火速启动,吴大叔第一时间被转送至DSA导管室,心血管内科主任阮宏标、副主任赖仙辉连夜奔赴而来。
凶险!左主干完全闭塞
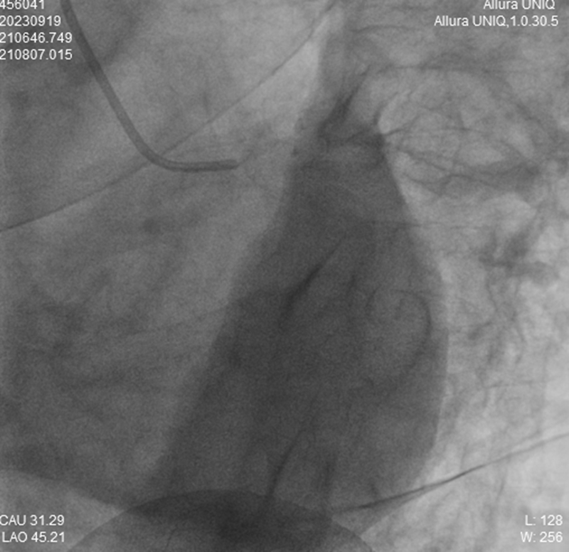
定位、消毒、穿刺、泥鳅导丝送入……危急时刻,救心团队以最快的速度为吴大叔实行冠脉造影。果不其然,结果显示确实是最凶险的心梗,且是“无保护左主干完全闭塞”!左主干血流全部中断,无其它侧支循环保护供血。

心脏供血的血管主要包括冠状动脉左主干,以及右冠状动脉。其中左主干血管为心脏提供三分之二以上的血液供应,左主干闭塞引起的急性心肌梗死,是危险程度最高、存活率最低的一种类型,不少患者猝死于院外,即使有机会到达医院接受急诊介入手术,死亡率仍高达50%以上。

【左主干造影,完全闭塞】

【右冠状动脉造影,显示无侧支循环生成来保护左主干供血区域】
生机稍纵即逝,吴大叔随时可能猝死!面临最凶险的心梗,救心团队沉着应对,先使用球囊扩张血管梗塞部位,再接入主动脉球囊反博(IABP),稳定血压,纠正心源性休克,最后连续植入两枚心脏支架,成功恢复全部血流。

【支架植入后左主干造影,血供恢复】
整个救心过程一气呵成,入导管室至导丝通过时间为17分钟,DtoW 52分钟。手术一开通血管,吴大叔就明显感觉不适症状缓解,心衰、心源性休克也得以控制。
给力!接力闯关转危为安
然而,这场与死神的较量并未结束!术后,吴大叔肌钙蛋白检测高达315690ng/L,高于正常人1万倍,提示心肌损伤极其严重。
此外左主干闭塞的患者,即使度过了手术关,仍可能会面临心力衰竭、肺部感染、电解质紊乱、恶性心律失常、应激性溃疡、急性肾功能衰竭以及多器官功能衰竭等一系列致命的并发症。
继手术关后,急诊EICU团队接力救治,闯过重重难关。在IABP辅助治疗下,吴大叔的情况日渐平稳。日前,经过长达一周的精心照护,吴大叔终于平安转入普通病房。复查心脏超声,显示射血分数65%,心脏功能恢复良好,胸痛胸闷、透气不适等症状也已全然消失。
“没有你们我早就没命了!”在鬼门关上凶险走一遭,吴大叔心有余悸之余,对医护人员充满了感激之情,更是对心梗的凶险有了深刻的认识。
每一次心梗急救,都是一场与时间赛跑的生死较量,而这一场与死神的巅峰对决,他们用强大的技术力量、丰富的急救经验以及密切的团队协作,成功战胜了最凶险的心梗,充分展示了胸痛救治的超强实力!

