心梗休克合并罕见血管变异,高难度救心!

80岁高龄突发心梗,伴随心源性休克,四肢脉搏无法触及,且心脏血管变异!一场高难度的救心行动惊心动魄上演……
太突然!心梗休克 老人命悬一线
黄奶奶今年80岁,花甲之年的她,平常还会到田间种些小菜。日前,她却毫无征兆突感剧烈胸痛、透气困难,女儿立马驾车将其送往玉环市人民医院。

可一到医院,黄奶奶在女儿的搀扶下没走两步就软瘫在地,医院保安赶紧推来平车将其送往急诊抢救大厅。
急诊医生全面检查,发现黄奶奶全身大汗淋漓,血压只有50/30mmhg,心电图提示三度房室传导阻滞,即使在药物的维持下,每分钟心率仅有40次,四肢脉搏无法触及!
“心梗引发心源性休克,马上介入手术!”情况危急,救心通道高速开启,黄奶奶被紧急转运至DSA导管室。
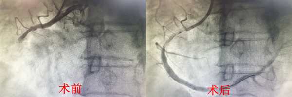
高难度!血管变异 惊险逆转困境
时间就是心肌,时间就是生命。心血管内科主任阮宏标、副主任赖仙辉携手团队火速上线,紧急进行心脏介入手术。

面对四肢脉搏消失的困境,阮宏标主任凭借丰富经验,成功实施了从手腕桡动脉入路的“盲穿”技术,一气呵成直达心脏。
然而紧随其后再现另一难题,造影显示黄奶奶的冠状动脉存在罕见的变异!心脏左前降支开口于右窦,左回旋支缺如,异常粗大的右冠状动脉近段急性完全闭塞,中段严重狭窄。
这是医院自DSA设备启用以来首次遇到此类情况,手术难度大、风险高,对医生的技术水平要求极为严苛。


面对严峻挑战,救心团队最终不负所望,在冠状动脉抽出长达4厘米的血栓,并植入两枚支架。黄奶奶的心律即刻恢复正常,成功闯过鬼门关。进入导管室到导丝通过仅用时19分钟,DtoW 66分钟。
要警惕!冬季高发 谨记7大先兆
阮宏标主任提醒,冬春季节,特别是气温波动的时候,心梗易发,广大市民一定要关注自身健康。心梗发作前常有先兆症状,一定要引起高度警惕:

1. 胸痛胸闷+大汗:胸部正中,或者在胸部中间偏左部位出现疼痛,范围至少一个巴掌大小。这种胸痛、胸闷像胸口放了块大石、或用胶带缠了几圈,还常伴有莫名的恐惧、焦虑感。
2.长时间的恶心和呕吐:心梗发作时,心肌缺血可能导致胃肠道功能异常,出现恶心和呕吐。这种恶心和呕吐通常会持续一段时间,不会因为进食或休息而缓解。有些人还可能会出现腹部不适或胃酸倒流的感觉。
3.嗓子难受:咽喉部烧灼痛,感觉喉部发紧,可能伴有胸闷、憋气、大汗症状。
4.上肢和左肩痛:一般为左侧肩膀或者左侧手臂内侧出现钝痛,可能放射到小指和无名指。
5.持续后背痛:有些心梗患者的疼痛会放射到后背,出现持续的后背疼痛。女性相比男性更多见。
6.上腹部疼痛:感觉“胃痛”或上腹痛,服用护胃或者解痉药物无效,且疼痛与活动或劳力有关时,也应警惕急性心梗的可能。
7.牙痛或下颌痛:少数情况下,心梗患者会出现牙痛、下颌痛,且伴随胸痛、肩膀痛、冒冷汗、濒死感等症状。这类牙痛与运动相关,患者处于静止状态时不痛,一运动就疼或疼痛不止。

