坐车10小时,下车瞬间倒地!为何肺部血管会突然“堵车”?
春节假期刚过,
34 岁的彭女士和丈夫
踏上了自驾返玉的路途,
本以为只是一次平常的返程,
却没想到,
一场惊险正悄然降临
……
高速拥堵,最后一天彭女士在车上
呆了10个小时,
下车一落地,
人就晕了过去!差点没命!
下车即晕倒,生死一线间

“在四川老家过完年,我们就自驾回玉环上班,最后一天坐了十个小时,坐车里都还好,没想到一下车就糟了。”
彭女士回忆,高速拥堵,漫长的 “静止” 旅程一路都是丈夫开车,车子走走停停,这样的状态持续了两三天。最后一天,她在车上没怎么吃东西,进服务区时也没想着下车活动。
就这样,整整 10 个小时,她像被定格在了座位上,身体几乎没有挪动过一下。
终于抵达玉环的家中,彭女士满心期待着能快点进屋休息。可刚下车没走几步,她突然感觉心慌气短,还没等她反应过来,眼前一黑,整个人就晕了过去。
当彭女士再次恢复意识时,已经身处医院。此时的她,还浑然不知自己正与死神擦肩而过。
肺被 “栓” 住,元凶竟是久坐

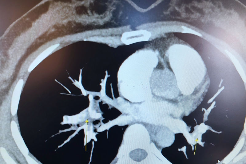
【CT影像】
“急诊CT提示,患者肺部双侧与主干血管均有不同程度的栓塞,我们立刻采取了吸氧、抗凝等治疗。”呼吸与危重症医学科主治医师王剑解释,彭女士是因久坐导致下肢深静脉血栓,引起急性肺栓塞、呼吸衰竭。
她所遭遇的情况,在医学上有个专门的名称 ——“经济舱综合征”。
在日常生活中,当我们乘坐相对密闭的交通工具进行长途旅行时,如果长时间保持坐姿、静止不动,双下肢静脉血液回流就会变得缓慢,血液瘀滞,这就为下肢深静脉血栓的形成创造了条件。

一旦久坐后开始活动,那些脱落的血栓便会顺着血流循环一路 “闯荡”,先回流至心脏,然后抵达肺部。而肺内的血管是越分越细的,血栓最终就会卡在肺部血管,导致肺栓塞。此时,肺里参与氧气交换的血液大幅减少,身体会严重缺氧,患者就会出现呼吸困难、咳嗽、胸痛等紧急症状,严重的甚至会因呼吸衰竭而死亡。
好在经过一周多的对症治疗,彭女士的情况逐渐好转,最终顺利出院。
医生强调,
真正危险的不是经济舱,
而是“不动”!

连续3个小时以上的久坐会大大增加患血栓的风险。肺栓塞发病急、进展快,未经治疗的肺栓塞死亡率高达20-30%。许多患者在没有明确诊断时已经死亡,需要积极预防。
如果腿部突然出现原因不明的疼痛和肿胀,应及时就医,在得到明确诊断结果之前,患者需尽量减少活动,也不能进行按摩或热敷,避免引起血栓脱落;
如果出现呼吸困难、咳嗽、咯血、胸痛等情况,很有可能是已经出现肺栓塞,这时必须迅速拨打120急救电话,送医治疗。
四字诀
有效预防血栓形成
动
尽量避免长时间不变的坐位姿势。
无法离开座位时,可规律活动双脚或双腿,进行“提膝、踝泵、绕趾、贴胸”等下肢运动动作。
饮
多饮水可稀释黏稠的血液。
喝水、勤上厕所的同时,能被动改变坐姿,一举两得。
穿
避免穿过于紧身的衣裤鞋袜,穿着宽松舒适的衣物。
肥胖、肿瘤患者、肾病综合征患者、老年人等高危人群可选择穿着弹力袜,有助于减少下肢深静脉血栓的形成。
药
血栓性疾病患者和高凝血症患者需根据自身疾病情况,遵照医嘱服用一些抗凝的药物。

