30年烟酒掏空肝脏!45岁男子呕血休克,医院上演“生死镜速”
小酌怡情但酒多伤肝
董先生30年烟酒不离手
即使多年前发现肝硬化
照旧我行我素
最终酿成“大祸”
二两白酒下肚后
他因消化道大出血
陷入失血性休克
危急!多年肝硬化男子酒后突发呕血

“都肝硬化了还不吃药,每天烟酒不断,怎么劝都没用!”说到董先生的“坏习惯”,家人也是烦恼不已。董先生今年45岁,烟龄却有30年,每天不下10支!多年前查出肝硬化后,他依旧我行我素,酗酒成瘾,完全不把自己的健康当回事。
事发当天,他在家吃晚饭,照例倒了二两白酒,酒还没喝完,董先生突然捂住嘴,紧接着大口大口呕出鲜血,家人瞬间被吓得惊慌失措。
“患者入院时大汗淋漓、脸色苍白,结合检查,我们考虑是消化道大出血,已陷入失血性休克。”急诊科主治医师戴鸿威介绍。
长期饮酒会导致肝细胞反复损伤,逐渐发展为肝纤维化,进而形成肝硬化。而肝硬化患者常见并发食管-胃底静脉曲张,曲张的静脉壁薄且脆弱,一旦破裂就会引发消化道大出血,董先生正是如此。
情况十万火急,急诊团队迅速行动,第一时间建立静脉通道,开展补液、口服凝血酶散止血等对症治疗,随后将其收住EICU。
“镜”速!床旁内镜下止血力挽狂澜

本以为暂时稳住了病情,可谁能想到,更大的危机还在后头。
收住EICU后,EICU团队迅速采取了输血等措施,以纠正贫血。但董先生的出血态势未能止住,他再次呕血,血红蛋白从入院时114g/L掉到了68g/L,只有正常水平的一半。
“患者反复呕血,药物与输血治疗效果不佳,需要内镜止血!” EICU团队紧急联系消化内科、麻醉科会诊,启动急诊床旁内镜下止血。

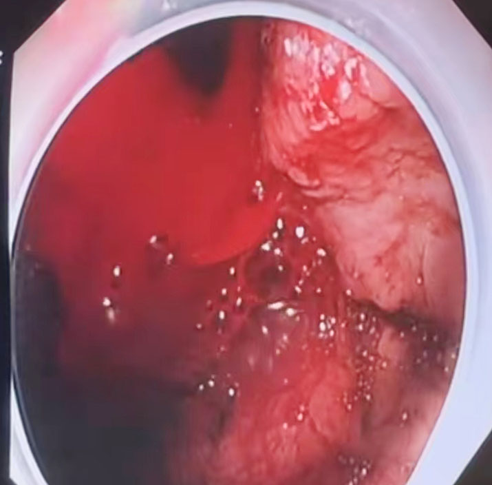
在气管插管麻醉下,医务处处长、内镜中心主任姚必瑜通过床旁内镜探查,“胃镜下可见,患者胃部有大量血液残留,胃底有一处静脉曲张破裂,正是出血根源。”姚必瑜立即使用硬化剂注射出血点,成功止血。
当患者病情危急、生命体征不稳定时,床旁内镜无需转运至内镜中心,直接在病房或抢救室就能操作,大大节省了宝贵的救治时间
其中,床旁内镜下硬化止血尤其适用于急性和紧急情况的消化道出血。确定出血点后,医生会在内镜直视下使用硬化剂注射到出血部位的血管,使血管硬化并形成栓塞,从而止血。这种治疗方法止血见效快、再出血风险低,具有创伤小、恢复快、安全性高等优点。
目前,经过近两周的治疗,董先生情况好转,已平安出院。“鬼门关”里走一回,这次他深知酗酒抽烟的害处,出院时表示不敢“再犯”。
当心!肝硬化忌烟忌酒还要定期检查
肝硬化,这个隐匿的健康杀手,悄无声息地严重破坏肝脏功能。它通常是多种肝脏疾病发展到最后的一个阶段。慢性乙型肝炎和代谢性脂肪肝病患者,以及长期饮酒过量导致酒精性肝病的人群都是肝硬化的高危对象。
早期肝硬化大部分症状轻微,可能只是轻度乏力、腹胀、食欲轻度减退、肝脾轻度肿大、轻度黄疸等,容易被忽视。此时肝脏组织虽然硬化变质,但残存的正常细胞仍能满足人体正常生理需求。
然而,一旦肝脏损伤程度超过60%以上,肝脏功能就会失去代偿能力。各种严重症状便会接踵而至。患者会感到重度乏力、身形消瘦,消化系统也会出现严重问题,食欲极度减退,腹胀明显,全身皮肤发黄,面部皮肤变得黝黑发暗。更可怕的是,还会引发消化道出血、腹水、肝肾综合征和原发性肝癌等一系列致命并发症。
这次董先生能成功脱险,是玉环市人民医院多学科紧密协作的成果。这也给所有人敲响了警钟:肝硬化患者一定要严格忌烟忌酒,定期到医院检查。良好的生活习惯和定期体检,才是守护健康的最好方式 。
预防肝硬化的主要措施
01控制饮酒?
酗酒是肝硬化的主要原因之一,已发现肝炎患者务必严格禁酒。
02保持健康饮食?
减少高脂高糖高盐饮食,避免辛辣刺激性食物,多吃蔬菜水果,保证充足水分摄入,都有利于肝脏排毒。
03遵医嘱规范治疗肝病
患上慢性肝病的人群要积极治疗,遵医嘱坚持规范服药,不能擅自停药和增加服药量。长期滥用药物也可能导致肝损伤。
04定期体检?
长期饮酒过量、肝炎病毒感染者等高危人群应定期进行肝脏功能检查,及时发现肝脏问题。已出现肝硬化患者可以定期进行内镜检查,及时进行内镜下治疗,降低消化道大出血风险。

