26 分钟“双绕行”上演生死时速!医生:警惕胃胀背后的致命心梗
当胃胀不适,大多数人的第一反应是肠胃出了问题。然而,这看似普通的症状,有时却是心脏发出的“警报”!
胃胀竟是极危重心梗 “双绕行”26分钟救命
家住干江的吴奶奶(化名)今年80岁,是位有着十余年病史的“老糖友”,日常一直在服用降糖药治疗,但未规律检测血糖。
日前,吴奶奶突感胃胀、背胀,以为是老胃病犯了,便自行到药店购买胃药服用。可连续吃了2日,胃胀始终不见好转,还出现了呕吐。
于是,吴奶奶来到干江卫生院就医,结果一做心电图,尖锐的报警声响起,竟是凶险的“急性心肌梗死”!
据悉,自2021年9月起,玉环市在基层医疗卫生机构逐步配置数字心电图机,同步搭建全域心电大数据智慧平台,全面构建县、乡、村一体化“心电一张网”。基层医疗机构及时上传心电检查数据,县级医院“AI辅助+人工复核”的方式予以诊断。截至目前,全市已接入188家医疗机构,配置设备341台,实现医疗机构静态心电检查和公立医院、乡镇卫生院动态心电检查“两个全覆盖”。
心梗救治分秒必争!应吴奶奶要求,120救护车载着她紧急奔向玉环市人民医院就医。同一时间,玉环市人民医院胸痛中心绿色通道火速开通,马上启动双绕行准备,心内科主任阮宏标带领救心团队第一时间上线。


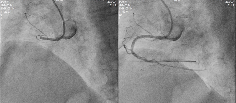
10:55,吴奶奶抵达玉环市人民医院,直接被送往DSA手术室。心脏造影显示三支血管严重病变:右冠近段急性完全闭塞,回旋支中段严重狭窄95%,前降支近段严重狭窄80%。
救心团队争分夺秒在吴奶奶梗塞的血管上抽出大量血栓,最终成功植入支架。入导管室至导丝通过26分钟,DtoW 32分钟。
目前,吴奶奶已平安出院。

心梗也可能不会胸痛 糖尿病患者更要警惕
心内科副主任赖仙辉介绍,绝大多数急性心梗患者的典型症状表现为胸后骨和心前区压榨性疼痛,也就是常说的“胸痛”。
但还有部分患者会出现不典型的症状,表现为牙痛、颈部疼痛、咽喉不适、上肢和左肩痛、持续后背痛和上腹痛等,还有罕见的鼻尖痛、大腿根痛及尿频尿急。
常见诱因主要包括气温骤变、暴饮暴食、过度紧张、焦虑、生气、劳累、用力解大便等。
相关研究表明,糖尿病患者往往伴有自主神经受损,三分之一以上的糖尿病患者并发急性心肌梗死时并无胸痛症状。而糖尿病患者的冠心病与一般冠心病相比,病变范围更广泛,程度更严重,常累及多支冠状动脉。
因此糖尿病患者更需高度警惕无痛性心梗,注意定期进行心电图、心肌酶、肝肾功能等检查,必要时进行心脏冠状动脉造影,明确有无急性心肌梗死并及时治疗。

胸痛中心简介
2018年4月,玉环市人民医院正式启动胸痛中心建设,2019年7月通过国家胸痛中心基层版认证,2022年中心通过国家标准版认证。
医院广泛开展冠脉造影、心脏支架植入、心脏起搏器植入、心律失常射频消融等心脏介入技术,在台州市域内领先开展无导线起搏植入、多位点起搏的三腔起搏除颤器植入等技术,急性心梗病人DtoW 时间最短只有12分钟,最高年龄96岁,心脏起搏器植入例数居全省同级医院前列。
随着急诊住院综合大楼正式启用,玉环市人民医院完成DSA导管室整体搬迁升级,在新手术室配置两间DSA导管室,心血管急救团队24小时全天候响应,不断提升"救心高速路"诊疗效率,全面增强急性胸痛患者的救治能力,为全市心血管疾病患者提供更优质的生命保障。

